北京大学肿瘤医院

返回

顶部

网站导航

1111.jpg

研究成功分离异型细胞簇中CD8阳性T细胞

作者: 来源: 发布时间:2026-01-08

荷兰癌症研究所Ibáñez-Molero等研究发现,在肿瘤中与肿瘤细胞紧密结合形成异型细胞簇的T细胞,是最具抗肿瘤活性与杀伤力的核心,可作为更高效的肿瘤浸润淋巴细胞来源,显著抑制肿瘤生长。该研究发现为改进现有的TIL疗法、开发基于簇来源T细胞或其TCR的新型免疫治疗策略开辟了新视角。(Nature. 2025年11月19日在线版)

389-390期《全球肿瘤快讯》-95-.jpg

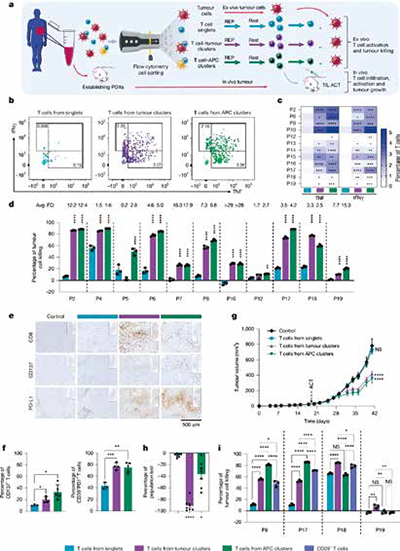
研究者从肿瘤患者的肿瘤组织中分离出由CD8阳性T细胞与抗原呈递细胞和/或癌细胞共同组成的异型细胞簇,发现这些T细胞富集了与肿瘤反应性和耗竭相关的基因特征,表现出更高的TCR克隆性,且杀伤肿瘤细胞的活性提高8倍以上。

由此研究者认为,肿瘤反应性CD8阳性T细胞富集于含有肿瘤细胞和/或抗原呈递细胞的功能性细胞簇中,且可从临床样本中分离和扩增。这一技术革新,有望提升免疫治疗尤其是细胞免疫疗法的效用。已有研究发现,CD8阳性T细胞与肿瘤细胞之间的距离,与抗肿瘤免疫反应之间存在相关性。但能否将这些细胞簇从临床样本中分离出来并扩增其中的CD8阳性T细胞尚不清楚。基于当前的流式细胞术的标准单细胞分选策略往往会忽视这些细胞簇。

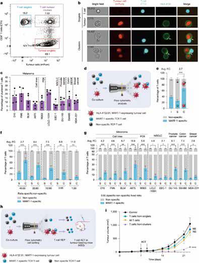
研究者基于被标记且表达特定抗原的黑色素瘤细胞系,及表达识别特定抗原TCR的CD8阳性T细胞,在体外模拟了T细胞与肿瘤细胞之间的相互作用。共培养4个小时后,研究者观察到了肿瘤细胞和T细胞聚集在一起的异型细胞簇。

若将其中60%的抗原特异性T细胞换成非抗原特异性T细胞,会发现抗原特异性T细胞形成异型细胞簇的能力强于非抗原特异性T细胞。即使在抗原特异性T细胞占总T细胞数量的1%的情况下,它们在异型细胞簇中的富集倍数也高达11倍。在不同的肿瘤细胞类型中,均可观察到类似现象。

在测试异型细胞簇中T细胞抗肿瘤能力的过程中,研究者发现,没有成簇的单个游离T细胞不能控制肿瘤生长,而异型细胞簇中的T细胞则可显著抑制肿瘤生长。那么能否从肿瘤患者体内分离出CD8阳性T细胞与肿瘤细胞形成的异型细胞簇呢?

ImageStream成像流式细胞术的帮助下,研究者证实了异型细胞簇的存在,这些细胞簇包含一个或多个CD8阳性T细胞,并与一个或多个肿瘤细胞和/或一个或多个抗原呈递细胞结合(即CD8阳性T细胞-肿瘤细胞簇,或CD8阳性T细胞-抗原呈递细胞簇),可在细胞间界面上看到免疫突触标志物CD11c、HLA-ABC和CD58等,提示确可从临床样本中检测分离到异型细胞簇。

389-390期《全球肿瘤快讯》-96.jpg

与肿瘤中游离的单个T细胞相比,源自异型细胞簇的T细胞富含克隆性TCR,且肿瘤反应性特征表达增强,它们还具有独特的RNA谱,可预测肿瘤浸润淋巴细胞治疗应答。游离T细胞则表现出更高的病毒反应性特征,提示它们是旁观者T细胞。这些结果表明,异型细胞簇中的T细胞可能扩增并富集肿瘤反应性克隆型。

探讨异型细胞簇CD8阳性T细胞杀伤力的研究显示,与游离的单细胞相比,异型细胞簇中T细胞产生的细胞因子IFNγ和TNF,在与肿瘤细胞接触4小时后显著增加,提示其活化程度更高。与游离的单个T细胞相比,异型细胞簇来源T细胞的杀伤活性高8倍以上。围绕游离T细胞和异型细胞簇来源T细胞的过继性细胞疗法实验显示,来自异型细胞簇的T细胞对肿瘤的浸润增加,活化显著增强,表现为CD137、PD-1、CD39表达上调等,能显著延缓肿瘤生长。

该研究成果表明,源自异型细胞簇的CD8阳性T细胞,在体外和体内均表现出比单个游离T细胞显著更强的抗肿瘤活性。这些通常被单细胞研究排除在外的细胞簇代表了一种独特的细胞群,有助于我们更好地理解功能性肿瘤-免疫细胞相互作用,有必要开展临床前研究。这一发现不仅有助于改进肿瘤浸润淋巴细胞疗法的效果,而且有助于探讨基于从异型细胞簇来源T细胞中分离TCR的治疗策略。 (编译 张娜)